
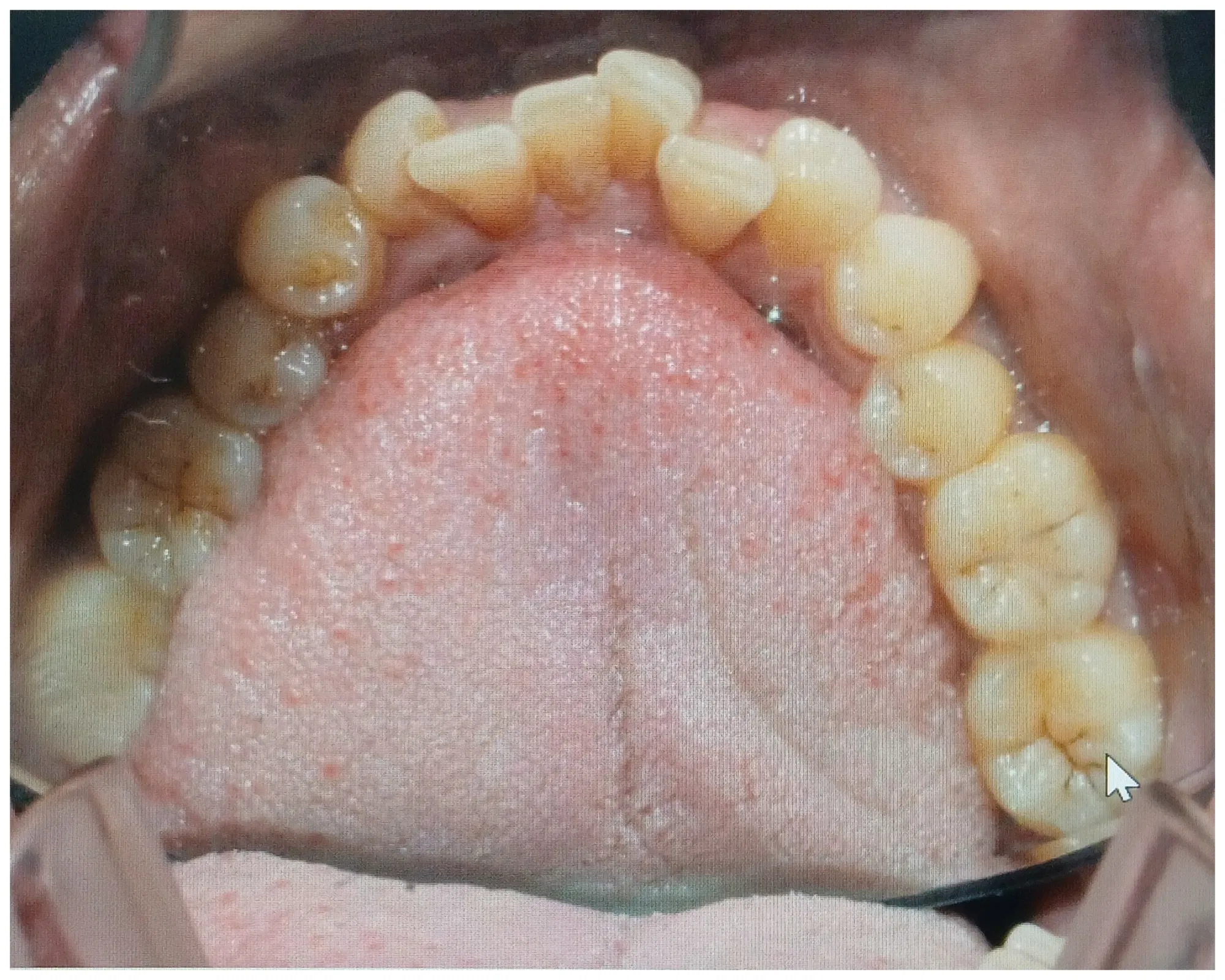
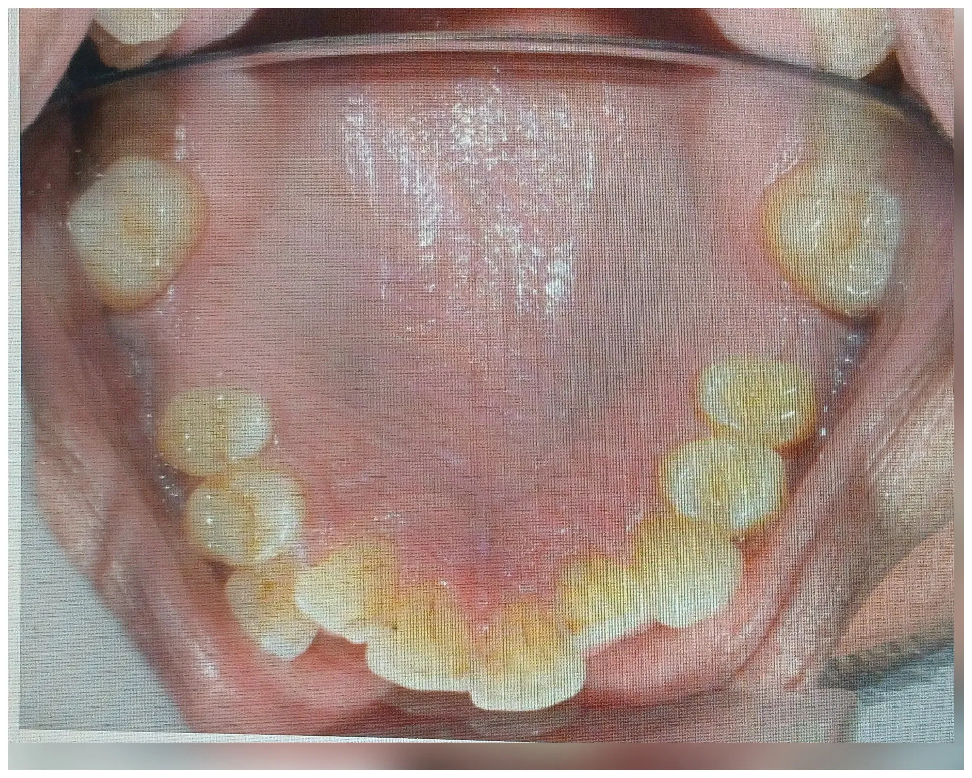
el apiñamiento dental es una condición donde los dientes no tienen el suficientemente espacio para poder tener una oclusión perfecta esto se puede deber a que hay poco espacio los maxilares al momento de la erupción dentaria de los dientes permanentes puede tener distintas causas las tres principales son hábitos con Factor genético y el tipo de alimentación.
#
Podemos aplicar brevemente cada uno de ellos los hábitos tenemos como el hábito de respirador bucal o el destrucción digital de chupar deo o el del chupete o chupón no puede causar una malformación en desarrollo de los maxilares que los puede contraer por lo tanto al momento del recambio dentario cuando vienen los dientes permanentes pues son mucho más grandes y el espacio está reducido en cuanto a la alimentación tenemos que en tiempo de nuestros abuelos y bisabuelos pues la alimentación de ellos era mucho más magra la era una comida menos refinada por lo tanto ellos tenían que utilizaban más la mandíbula y los dientes para triturar para mascar para rasgar ya hoy en día Todo se le da listo picado al niño Entonces no hace ningún tipo de esfuerzo para estimular el desarrollo tanto óseo como muscular lo que provoca también contracción en los maxilares.
#
Por último y él no menos importante es una condición genética donde un niño puede heredar el tamaño óseo del papá y el tamaño dental de la mamá o viceversa aquí eso también contribuye a que de repente tengamos un maxilar pequeño en dientes muy grandes o maxilar grande diente muy pequeño dependiendo de la genética o de la herencia que deje cada uno los progenitores.
#
En cualquiera de los casos pues hay que realizar un tratamiento ortopédico si son niños y tratamiento ortodoncia en el futuro para alinear los dientes y nivelarlos y hacerles el espacio suficiente en el arco dental para tener una mordida excelente para no tener trauma de oclusión ni alteraciones en el artículo Centre por mandibular esto cuando entre más temprano se puede realizar este tipo de tratamiento pues mucho mejor cualquier duda comentario pregunta o interconsulta estoy muy dispuesta alegre de poderte ayudar y responder.
Helengutier2
For the best experience view this post on Liketu