
a veces Bueno volver a los inicios Recuerda que cuando Yo comencé con mi segunda cuenta aquí comencé con caso clínico preguntas y respuestas acerca de tratamiento odontológicos eso me ha ayudado a tener un nombre dentro de la plataforma para todos en cuanto a cualquier duda o segunda opinión acerca de su tratamiento o duda de su tratamiento odontológico.
#
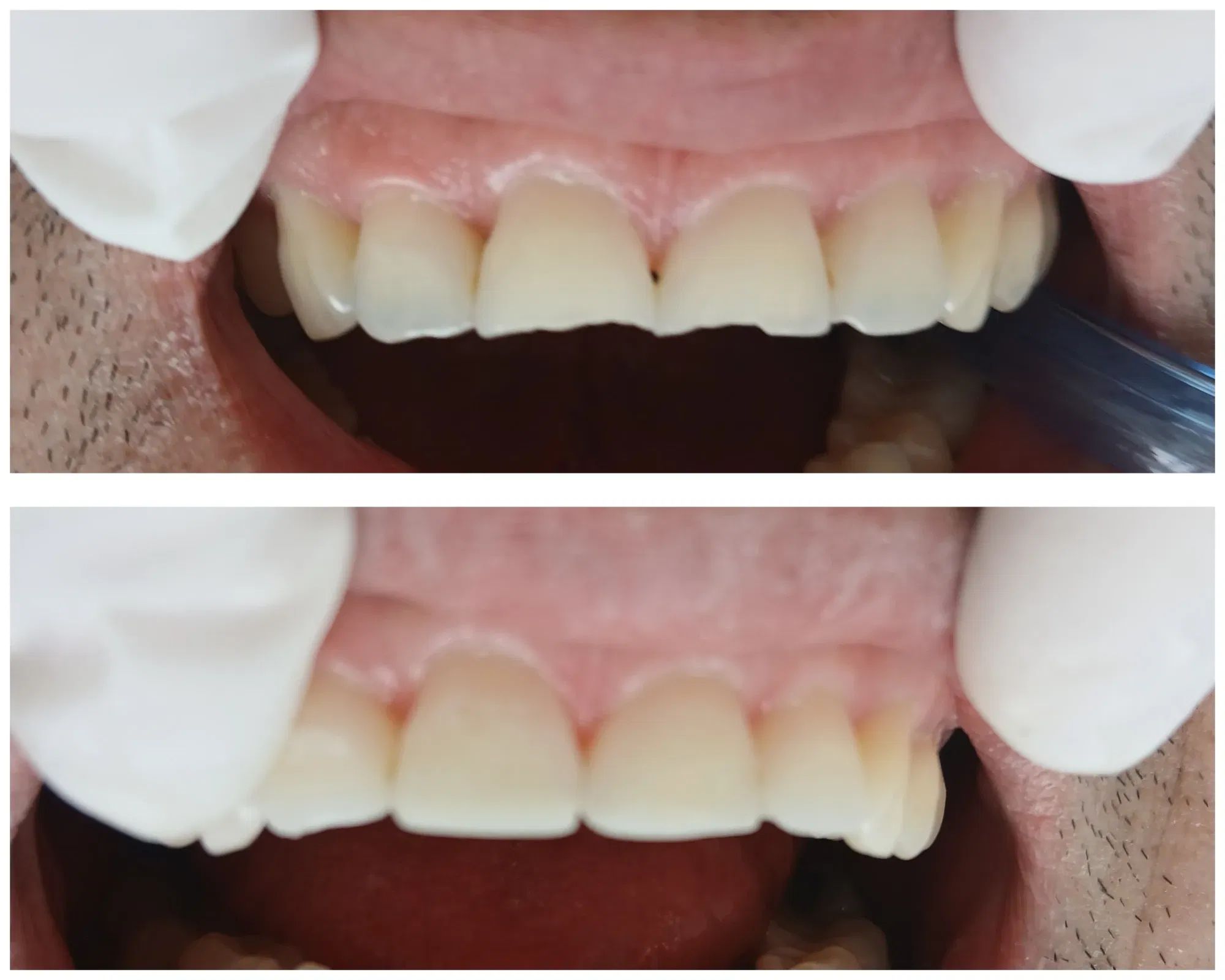
Presento el caso de un paciente con bordes incisales irregulares este se debe o tiene su causa en el bruxismo que es un hábito nocturno donde el paciente rueña los dientes de noche y se lo pierde va desgastando estamos probando en este caso las nuevas resinas no híbridas tecnología donde sus partículas y molecular se adhieren a cualquier espacio así sea pequeño lo que le da mayor retención y resistencia eso es lo que vamos a probar ya que el paciente debería usar una placa neuromio relajante para poderla conservar ese sería otra solución.
#
Para poder retomar moldes o impresiones del para la recepción de la placa debemos primero hacer los bordes para tomar una impresión fidedigna Luego de eso podemos mandar hacer la placa bueno para esta resina realicé un tallado un poquito más profundo para la retención luego hice el desmineralizado procedí a colocar el sistema adhesivo luego con lo que unos tiras o cintas de milar para evitar que el material se adhiera al diente vecino y para finalizar hice el tallado reconstrucción quedaron muy bonitos lo más importante de este tipo de procesos es la exigencia del color de color quedó perfecto.
#
Se realiza también el chequeo de la cruzación con papel de articular se eliminan los excesos se pule para que quede la superficie Lisa y el paciente se fue completamente contento y feliz la diferencia la podemos ver en las imágenes de cómo estaba un desgaste por atricción y cómo se va a ver o cómo se ve con la reconstrucción con resina enano híbrida en este caso de la marca 3M casa comercial que distribuye mucho material biocompatible y odontológico.
#
El paciente se fue muy satisfecho y contento es un tipo de procedimiento que se puede hacer en una sola sesión de hecho hay que hacer las dos al mismo tiempo para que queden todas bien bonitas y lo importante es que devolvemos la estética y también un poco de función en este caso son los incisivos centrales anteriores superiores los que estaban comprometidos.
#
Si desean alguna sugerencia o discutir algún caso hacer alguna pregunta o tener alguna duda pueden dejarla en la caja de los comentarios que yo con mucho gusto les contestaré sus dudas también puedo dar sus segundas opiniones acerca de planes y tratamiento previos, gracias por su atención.
Helengutier2
For the best experience view this post on Liketu